Home Gum Disease Remedies
There are two types of gum disease – gingivitis and periodontitis. If you develop mild gum disease – gingivitis - there are a number of home treatments that you can put into practice to restore your oral health.
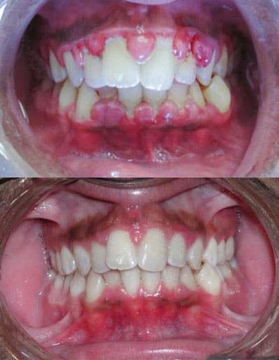
Gingivitis is caused by inflammation of the gums, the result of a bacterial infection. Bacterial build-up on the gums leads to plaque developing, and over time, tartar. These two substances irritate the gums and cause inflammation, pain, constant bad breath and bleeding gums.
Often gingivitis is caused because people do not stick to their daily oral health routine stringently enough. If you do not brush, floss and rinse out your mouth regularly enough, then you are allowing bacteria to build up.
If you do not treat gingivitis early on, then it will develop into periodontitis. This is a much more serious condition and can lead to tooth loss and other permanent damage to your oral health. Periodontitis is an illness that damages the bone and tissue that support the teeth and has long-lasting effects on your oral health.
The following are a few of the ways in which you may treat gum disease at home:
Gargle With Salty Water
Gargling with salty water can help to get rid of bacteria in your mouth. This is an easy, quick and cheap treatment to use to restore your oral health. You can do this daily until your gingivitis has subsided.
Increase Vitamin C Intake
Vitamin C is essential in order to maintain healthy gums, prevent swelling and bleeding gums and ward off infection. You can either take a supplement of vitamin C or you can increase your intake of fruits such as oranges, strawberries, grapefruit, lemon and all other citrus.
Use Natural Herbs
There are many natural herbs that have been shown to be effective with removing bacteria and plaque and protecting gums from infection. Ingredients such as tea tree oil and aloe vera are well known for being effective at maintaining oral health – tea tree is a powerful antibacterial and antiseptic and aloe vera reduces redness, inflammation and soothes the gums.
Massage Your Gums Regularly
Massaging your gums to increase the circulation can not only relieve inflammation and pain, but it can reduce the infection as the increased circulation helps to remove toxins.
Eat Healthily
Your diet is also a very important component of how healthy your gums are. Reduce sugar intake and eat foods like green tea and yogurt to support gum health.
The OraMD 4-Step Oral Hygiene Program
OraMD is a natural oral health product that can help to prevent or treat gum disease. In addition, the product website offers a four-step oral hygiene program, which will maximize your oral health.
Visit our page on Facebook

